EN
知识科普
小小的科普,大大的知识
心肌肥厚=肥厚型心肌病(HCM)?一例猫TMT的诊疗思路与基因检测的真相
2025-06-06 15:29:06
蔡振宇卡片.jpg

| 摘要
图片

猫在尿闭治疗第五天,出现呼吸急促、肺水肿,经心超检查发现有心肌肥厚、左心衰竭,SAM征。使用鹏佑猫肥厚型心肌病PCR检测,未发现携带突变基因。随后进行利尿吸氧,每天复查,肺水肿情况逐渐缓解,心肌肥厚情况也有缓解。最后,病例被诊断为自发性膀胱炎、急性肾后性肾损伤、猫暂时性心肌增厚。

| 动物基本信息
图片

姓名:老三

品种:

性别:

年龄:4岁

体重:未知

| 主诉及病史
图片

排尿困难,呕吐,食欲差;有尿闭史,自发性膀胱炎史;家族有猫因心脏病去世。

| 体验化验
图片

进行了导尿处置、血常规、SAA、生化检测,结果如下:

image.png

(血尿)

3.30血常规.png

(血常规)

3.30SAA.png

(SAA)

3.30生化.png

(生化)

| 诊断
图片

自发性膀胱炎;急性肾后性肾损伤。

| 治疗原则
图片

导尿、输液、消炎。

在尿闭治疗第五天,猫咪突然出现呼吸急促、咳嗽症状,因其有家族心脏病史,遂进行X光、心超、BNP、鹏佑猫肥厚型心肌病核酸检测,结果如下:

4.2X光.png

(肺水肿)

4.3心超M超.JPG

(左心室肥厚,SAM征)

4.3BNP.png

(BNP明显升高)

image.png

鹏佑猫肥厚型心肌病PCR检测结果:未携带突变基因)

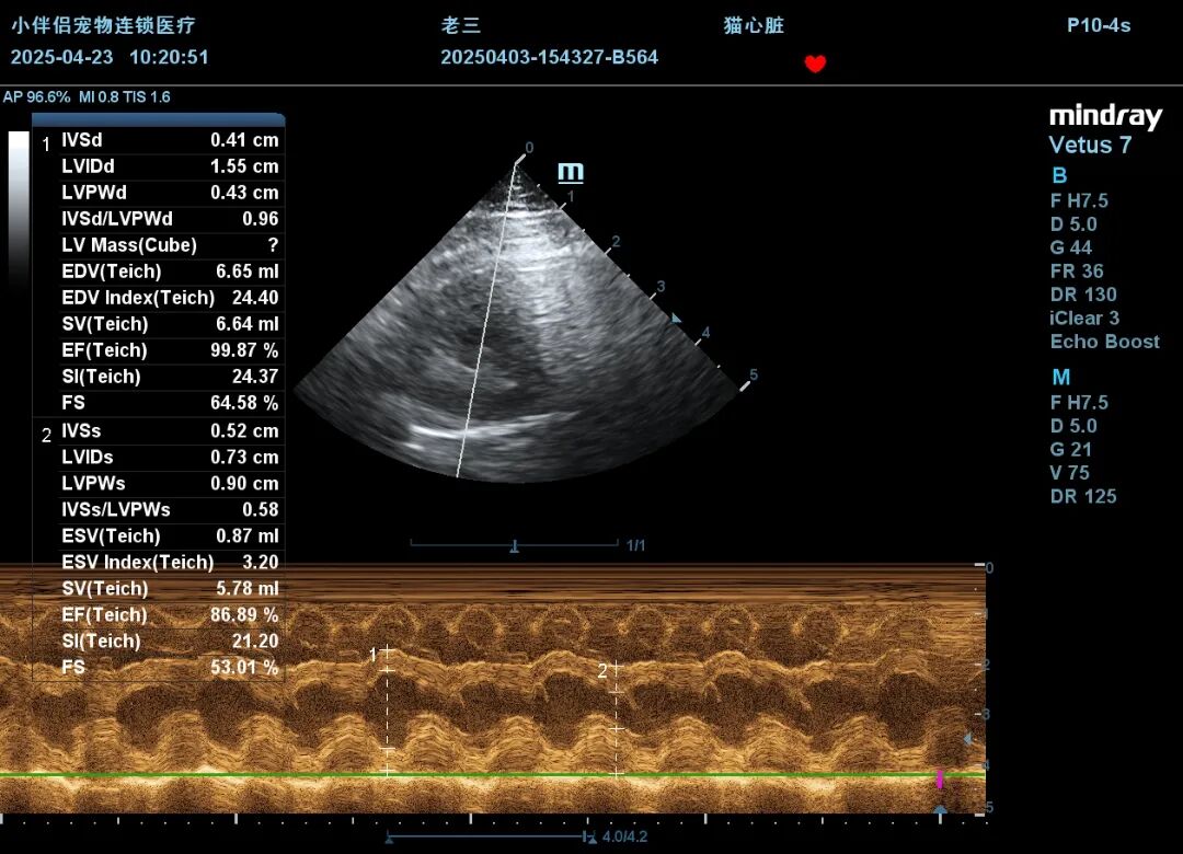
之后,针对症状进行利尿、吸氧等治疗措施,并进行每日心超复查。经过治疗后,猫咪状态逐渐好转,于肺水肿发病后第七天出院。出院半个月后,进行二次复查,心超及 BNP 指标均已恢复正常。二次复查的心超结果如下:

4.23心超M超.JPG

该病例最终被诊断为自发性膀胱炎及猫短暂性心肌增厚(TMT)

|病例分析
图片

猫肥厚型心肌病(HCM)是一种以心肌肥大和舒张功能障碍为特征的疾病,主要影响左心室 (LV) 腔。由于心脏肥大,会出现舒张功能障碍,扰乱心脏的正常功能并导致严重的全身并发症。这些并发症包括血流动力学紊乱、组织和器官的容量供应过多、血栓形成以及肺水肿等充血性病症。HCM 与多种心脏和全身性改变有关,包括 LV 壁密度增加、心脏形态功能改变以及代偿机制的激活。

MyBPC3-A31P、MyBPC3-R820W、ALMS1 是导致 HCM 的基因突变常见位点,然而位点检出并不代表一定会患病,因为该些突变具有不完全的外显率。据统计,在患有 MYBPC 突变的缅因猫中,A31P 杂合子的外显率为 6-8%,纯合子的外显率为 58-80%。位点未检出也并不代表一定不会患病,营养素-基因相互作用、其他遗传或环境修饰因素、存在未识别的突变等原因也可能导致 HCM。

在猫中,除了已发现的致病突变外,HCM 的病因尚不清楚。所以,对于大多数猫来说,HCM 是一种排除性诊断。主动脉瓣狭窄、脱水、全身性高血压、甲状腺功能亢进和肢端肥大症、麻醉、应激、药物(麻醉药、类固醇激素等)都有可能导致心肌肥厚。猫暂时性心肌增厚(TMT)与 HCM 症状相似,出现 TMT 的猫的心脏结构和功能会在消除病因时逐渐恢复正常。


—参考文献—

[1] Freeman LM, Rush JE, Stern JA, et al. Feline Hypertrophic Cardiomyopathy: A Spontaneous Large Animal Model of Human HCM. Cardiol Res. 2017 Aug;8(4):139-142. 

[2] Freeman LM, Rush JE, Meurs KM, et al. Body size and metabolic differences in Maine Coon cats with and without hypertrophic cardiomyopathy. J Fel Med Surg. 2013; 15:74–80. 

[3] Gaia de Sousa F, Mendes ACR, Carvalho LP, et al. Clinical-Diagnostic and Therapeutic Advances in Feline Hypertrophic Cardiomyopathy. Vet Sci. 2025 Mar 19;12(3):289. 


Facebook weixin Tanson Mounting

置顶

分享